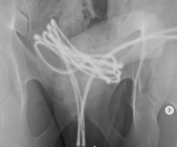
Um caso clínico publicado na edição de fevereiro da revista médica Cureus trouxe à tona uma prática pouco conhecida e altamente arriscada: a sondagem uretral , que consiste na introdução de objetos na uretra com finalidade s3xual . O relato, assinado por médicos da Faculdade de Medicina da Universidade Drexel (EUA), descreve o caso de um estudante universitário de 21 anos que buscou atendimento médico após não conseguir remover um cabo USB inserido em seu pênis.

O jovem relatou aos profissionais que não foi a primeira vez que praticou esse tipo de ato. Ele já havia usado anteriormente cotonetes, cabos de aço e outros instrumentos para estimulação s3xual. A intenção era obter sensações intensas através da estimulação do trato urinário — prática que, segundo especialistas, pode causar danos graves e até permanentes.
A sondagem uretral não é amplamente estudada, mas casos como esse têm aparecido com certa frequência na literatura médica. Relatos anteriores incluem pacientes que introduziram garfos, fios de raquetes de tênis, fones de ouvido e até partes de animais , como uma cobra decapitada.
Apesar de os registros médicos envolverem principalmente homens , especialistas afirmam que essa prática pode ocorrer em qualquer gênero, embora seja mais comum entre homens cisgêneros devido à anatomia uretral mais longa, que permite maior sensação tátil.
Segundo os autores do estudo:
“A autoinserção de objetos na uretra por motivos sexuais ou outros é rara, mas pode causar danos sérios, como lacerações, infecções, estruturas anatômicas comprometidas e até perfurações que exigem cirurgias complexas.”
No caso do jovem, foi necessário realizar uma intervenção urológica para a retirada segura do objeto. Após o procedimento, ele recebeu orientações sobre os riscos envolvidos e encaminhamento para acompanhamento psicológico, já que há possibilidade de dependência ou compulsão ligada ao comportamento.
A equipe médica reforça a importância do diálogo aberto sobre práticas s3xuais alternativas e dos limites entre prazer e segurança. “É fundamental que as pessoas entendam que o corpo humano não foi projetado para receber objetos em vias naturais como a uretra. Qualquer prática incomum deve ser discutida com um profissional de saúde”, concluiu um dos médicos envolvidos no caso.
Comentários: